Много родители смятат, че не е важно да се грижат твърде много за млечните зъбки на детето, защото след известно време те ще паднат. Но те имат голямо значение за правилното развитие и изпълнение на редица функции.
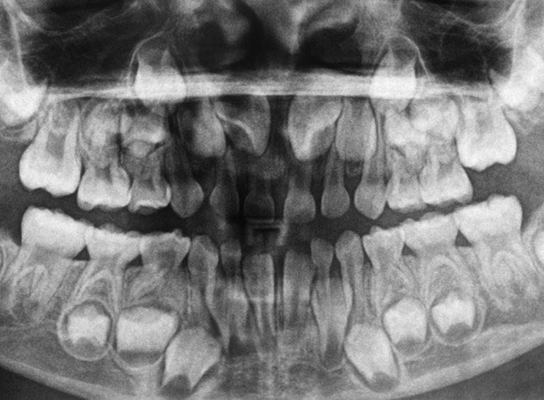
Детето разполага с 20 млечни зъба - 10 отгоре и 10 отдолу, под които са разположени зачатъците на бъдещите постоянни зъби. Първи се показват долните предни резци, а последни - кътниците. Редът на падането им е същият.
Една от очевидните функции на млечните зъби е да подпомогнат храненето на детето, като позволяват добавяне на повече разнообразни продукти към менюто му. А това е жизненоважно за развитието и бурния растеж на неговото тяло.

Източник: iStock
Млечните зъбки имат много голямо значение за правилното развитие и на речта на детето. Без тях извличането на сложните звуци в един език е немислимо. Само се опитайте да кажете азбуката, без да докосвате с език зъбите си, и ще разберете за какво говорим.
Но едно от най-важните им предназначения е да пазят място за постоянните зъби, които ще ги заместят по-късно.
Когато по някаква причина се наложи преждевременното отстраняване на някое млечно зъбче, постоянният зъб губи мястото си и това води до струпване и разкривяване на новите зъби. Възможно е и поникването на постоянния зъб да се забави, ако след отстраняването на млечния се е натрупала костна тъкан, която пречи на това.

Източник: iStock
Може би сте се питали защо просто от самото начало не ни поникват постоянни зъби, а трябва да ги сменяме. Това е така, защото размерът на челюстта на детето е твърде малък за големите постоянни зъби. А ако оставаха с размера на млечните, при възрастния индивид те щяха да бъдат малко на брой и с големи разстояния помежду си.